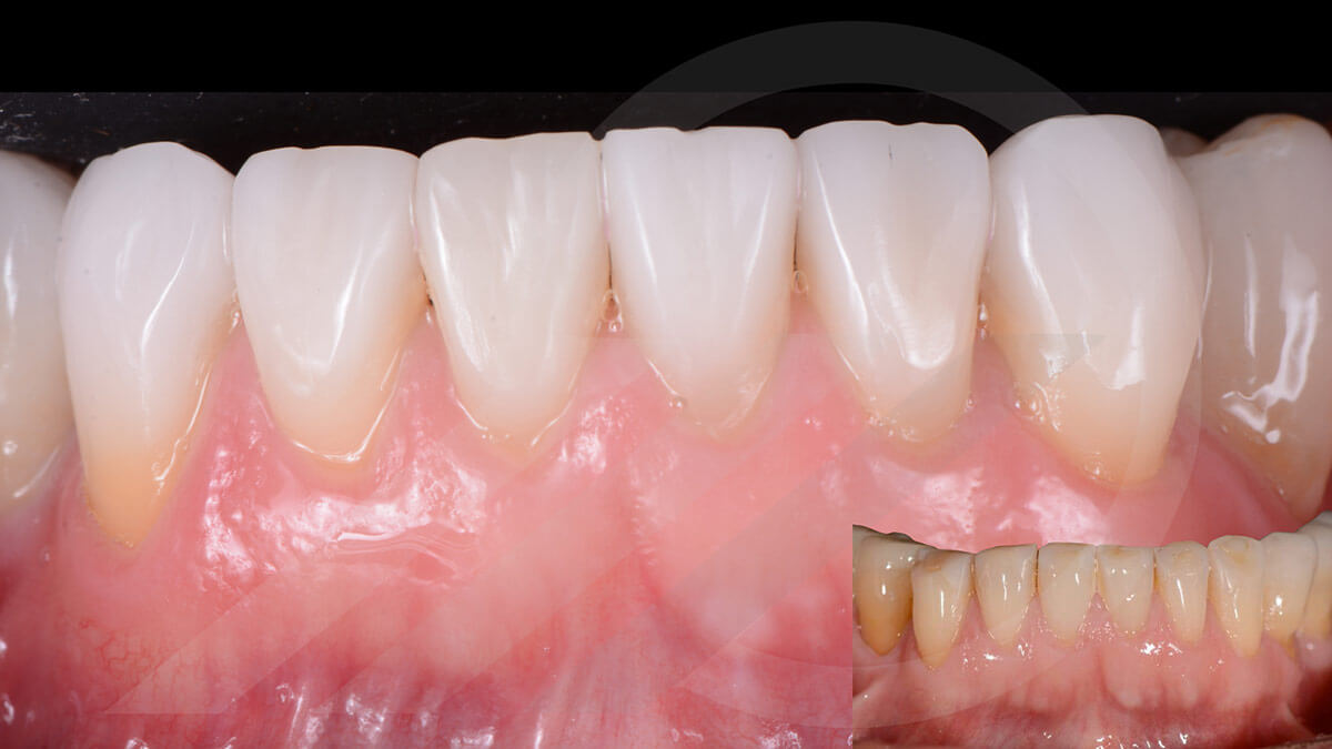
Dentística é o ramo da odontologia que atua na área da estética e da restauração dental, o qual recupera a forma e a função dos dentes afetados por cárie ou trauma através de restauração e reconstrução. Especialidade mais usada em consultórios dentários, entre outros serviços os profissionais desta área tratam de clareamentos dentais, uso de resinas diretas, facetas, lentes de contato e restaurações. O seu principal foco é a estética, ainda que a restauração de dentes também seja uma medida importante para a saúde individual, já que a permanência de cáries pode causar problemas a vários níveis, além de influenciar negativamente na mastigação dos alimentos. As restaurações podem ser utilizadas na reconstruções de dentes idênticos, pois existem uma infinidade de cores de resinas e cerâmicas, assim como de técnicas, que permitem reproduzir os dentes com perfeição para tornar a restauração imperceptível.

Caso necessário, as restaurações podem ser maiores, devendo ser realizadas restaurações como coroas totais, inlays, onlays, overlays e full-contour veneers, quando, geralmente, os dentes já estão em um nível maior de destruição.

Antigamente a confecção das restaurações indiretas poderia ser difícil para o paciente, e demorada também. Hoje, contamos com tecnologia para fazer essas restaurações até mesmo sem moldagens (alguns casos), apenas escaneando a boca do paciente, e desenhando a restauração no computador, que será fresada e terminada em nosso laboratório próprio e dedicado exclusivamente a nossos casos. Em casos que não são passíveis de escaneamento intra-oral, moldagens são realizadas, com o que há de melhor em materiais, fazendo com que sejam mais tranquilas para o paciente, e o escaneamento e confecção das restaurações é feita por escaneamento indireto, ou seja, do modelo de gesso obtido a partir da moldagem, que terá a mesma precisão que o escarmento em boca, ou seja, trabalhamos com praticamente 100% de nossas restaurações indiretas produzidas por tecnologia CAD/CAM, o que há de mais atual no mundo.

Atualmente, o limite entre Dentística e Prótese é muito tênue, por isso tratamos dos dois como um conjunto, sendo a maior diferença, que a Prótese engloba a confecção de próteses parciais e totais removíveis e/ou implantossuportadas.